فاصله بین دندان ها چیست؟
فاصله دندان یا «دیاسما» به فاصله ای گفته می شود که بین دو دندان ایجاد شده و باعث جدا شدن آن ها از یکدیگر می شود. این فاصله ممکن است تنها بین دندان های جلو دیده شود یا در نواحی دیگر دهان به وجود بیاید. دیاسما هم در کودکان و هم در بزرگسالان دیده می شود؛ اما در کودکان معمولاً با رویش دندان های دائمی برطرف می شود، در حالی که در بزرگسالان اغلب به درمان نیاز دارد. اندازه فاصله نیز از چند میلی متر تا فضاهای بزرگ تر متغیر است و بسته به علت آن، روش های درمان متفاوتی پیشنهاد می شود.

علت فاصله بین دندان ها
دلایل ایجاد فاصله بین دندان ها متفاوت است و ممکن است به عوامل ژنتیکی، عادات دهانی یا مشکلات ساختاری دهان و دندان مربوط باشد. مهم ترین علت ها عبارت اند از:
- کوچک بودن اندازه دندان ها نسبت به فک
زمانی که دندان ها کوچک تر از فضای فک باشند، بین آن ها فاصله ایجاد می شود. این مورد بیشتر ژنتیکی است و از کودکی قابل مشاهده است. - نبود یک یا چند دندان
اگر دندانی از ابتدا وجود نداشته باشد یا کشیده شده باشد، دندان های مجاور به مرور جابه جا شده و بین سایر دندان ها فضا باز می شود. - چسبندگی غیرطبیعی فرنوم لب
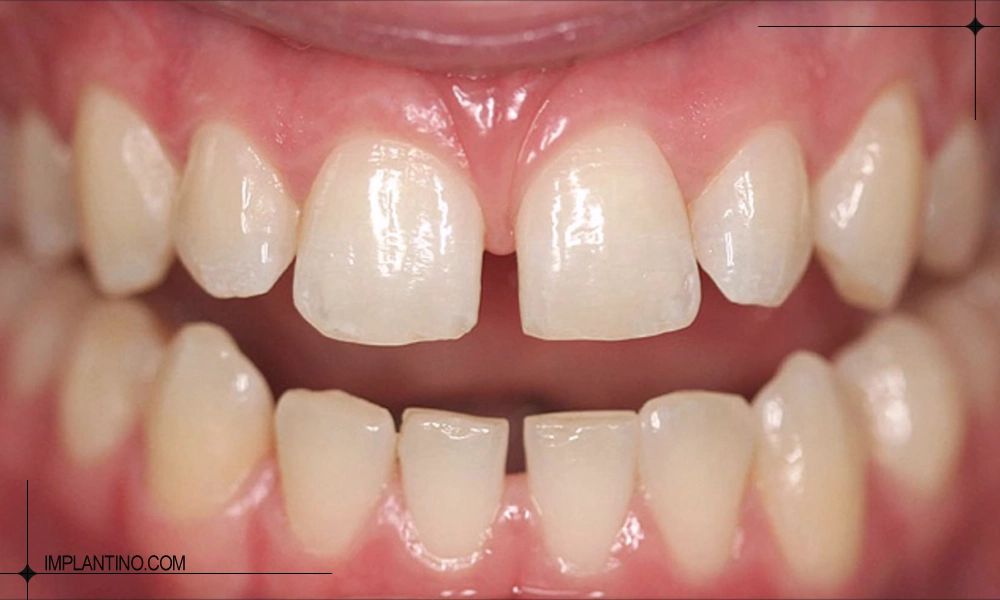
فرنوم بافتی است که لب را به لثه متصل می کند. اگر این بافت بیش از حد بزرگ یا پایین باشد، معمولاً باعث فاصله بین دو دندان جلو می شود. - عادت های دهانی نادرست
مکیدن انگشت، فشار زبان به دندان های جلو یا تنفس دهانی می تواند دندان ها را به سمت جلو هل دهد و فاصله ایجاد کند. - بیماری های لثه
عفونت و تحلیل لثه موجب شل شدن دندان ها و باز شدن فاصله بین آن ها می شود. - ارتودنسی ناقص یا ریتینر نزدن بعد از درمان
اگر فرد بعد از ارتودنسی از ریتینر استفاده نکند، دندان ها به مرور جابه جا شده و دوباره فاصله ایجاد می شود. 
فاصله دندان چه مشکلاتی ایجاد می کند؟
وجود فاصله بین دندان ها فقط یک مسئله زیبایی نیست و در بعضی مواقع می تواند روی سلامت دهان و حتی عملکرد گاز زدن و حرف زدن اثر بگذارد. مهم ترین مشکلاتی که فاصله دندان ایجاد می کند عبارت اند از:
- کاهش زیبایی لبخند
فاصله بین دندان های جلو معمولاً بیشتر دیده می شود و می تواند ظاهر لبخند را نامنظم و ناخوشایند نشان دهد. - گیر غذایی و افزایش پوسیدگی
ذرات غذا راحت تر بین دندان های فاصله دار گیر می کنند و اگر تمیز نشوند، احتمال پوسیدگی و بوی بد دهان بالا می رود. - مشکلات تلفظ
در برخی افراد فاصله زیاد بین دندان های جلو باعث ایجاد مشکل در تلفظ حروفی مثل «س» و «ص» می شود. - تحلیل لثه و لق شدن دندان
اگر دلیل فاصله بیماری لثه باشد، ادامه دار شدن آن می تواند باعث شل شدن دندان و تخریب استخوان شود. - به هم ریختگی سایر دندان ها
گاهی فاصله باعث حرکت سایر دندان ها و نامرتبی بیشتر دهان می شود. 

روش های درمان فاصله دندان در بزرگسالان
در بزرگسالان بسته شدن فاصله دندان معمولاً با روش های تخصصی انجام می شود؛ بسته به علت فاصله و انتظار زیبایی، دندانپزشک ممکن است ارتودنسی، کامپوزیت، لمینت، بریج یا جراحی فرنوم را پیشنهاد کند. بعضی از روش ها کاملاً بدون تراش هستند و در یک جلسه انجام می شوند، اما برخی درمان ها مثل ارتودنسی نیاز به زمان بیشتری دارند و نتیجه اصولی تر و ماندگارتر ارائه می دهند.
| روش درمان | مناسب برای چه شرایطی؟ | مزایا | مدت زمان نتیجه | 
| ارتودنسی ثابت یا متحرک | فاصله های بزرگ یا چند دندان | بدون تراش دندان، نتیجه اصولی و پایدار | چند ماه تا یک سال+ | 
| کامپوزیت ونیر | فاصله های کوچک تا متوسط؛ زیبایی فوری | سریع، اقتصادی، بدون آسیب زیاد | یک جلسه | 
| لمینت سرامیکی | فاصله همراه با بدشکلی یا تغییر رنگ | ظاهر طبیعی، مقاومت بالا | ۱ تا ۲ هفته | 
| باندینگ دندان | فاصله کوچک یا درمان اقتصادی موقت | بدون تراش، کم هزینه | یک جلسه | 
| ریتنا یر یا پلاک شفاف | فاصله خفیف یا بعد از ارتودنسی برای جلوگیری از بازگشت | راحت، قابل برداشتن | چند هفته تا چند ماه | 
| جراحی فرنوم لب | وقتی فرنوم بزرگ باعث فاصله دندان جلو شده باشد | جلوگیری از بازگشت فاصله، نتیجه دائمی | یک جلسه + تکمیل با ارتودنسی/کامپوزیت | 
| بریج دندانی | زمانی که دندان از دست رفته و باعث ایجاد فضای بزرگ شده | جایگزینی دندان گمشده + بستن فاصله | چند جلسه | 
| ایمپلنت دندان | فاصله ناشی از نبود دندان دائمی | ماندگاری بالا، جلوگیری از تحلیل استخوان | چند ماه تا نهایی | 
بستن فاصله دندان با ارتودنسی
ارتودنسی یکی از اصولی ترین روش ها برای بستن فاصله بین دندان هاست، به خصوص زمانی که چند دندان در نواحی مختلف دهان فاصله دارند یا ریشه ها به درستی در جای خود قرار نگرفته اند. ارتودنسی ثابت یا متحرک با فشار آرام و کنترل شده، دندان ها را به موقعیت صحیح هدایت کرده و فضای میان آن ها را به طور طبیعی می بندد. نتیجه این درمان ماندگار است و آسیبی به بافت دندان وارد نمی شود. البته مدت زمان درمان چند ماه تا یک سال یا بیشتر بسته به شدت مشکل متفاوت است.
															لطفا جهت رزرو نوبت در کلینیک ایمپلنتینو از طریق دکمه رو به رو اقدام کنید:
بستن فاصله دندان با کامپوزیت
کامپوزیت ونیر یکی از سریع ترین روش ها برای بستن فاصله دندان هاست و اغلب در یک جلسه انجام می شود. در این روش مقدار کمی کامپوزیت همرنگ دندان روی دو طرف دندان قرار می گیرد تا فاصله کاملاً بسته شود و ظاهر دندان ها منظم تر به نظر برسد. کامپوزیت نیاز به تراش زیاد ندارد و برای فاصله های کوچک تا متوسط مناسب است. هزینه آن نسبت به سایر روش های زیبایی کمتر است و اگر مراقبت مناسبی انجام شود، ماندگاری قابل قبولی دارد.
کاربرد لمینت برای بستن فاصله دندان
لمینت سرامیکی بهترین گزینه برای کسانی است که علاوه بر فاصله، مشکلاتی مثل لک شدید، شکستگی یا شکل نامناسب دندان دارند. در این روش یک لایه بسیار نازک و مقاوم سرامیکی روی سطح دندان قرار می گیرد و فاصله را کاملاً پوشش می دهد. لمینت ظاهر بسیار طبیعی و براق دارد و نسبت به کامپوزیت مقاوم تر است. این روش معمولاً طی ۱ تا ۲ هفته انجام می شود و نتیجه ای زیبا و طولانی مدت ایجاد می کند.
بستن فاصله دندان با باندینگ دندان
باندینگ یک روش ساده و اقتصادی برای بستن فاصله های کوچک بین دندان هاست. در این روش رزین کامپوزیتی همرنگ دندان روی سطح دندان قرار گرفته و با نور مخصوص سخت می شود تا ظاهر دندان طبیعی و یکپارچه به نظر برسد. باندینگ معمولاً بدون تراش انجام می شود و در یک جلسه نتیجه می دهد؛ اما نسبت به کامپوزیت ونیر دوام کمتری دارد و ممکن است در طول زمان نیاز به ترمیم داشته باشد.
ریتنا یر یا پلاک شفاف
ریتنر یا پلاک شفاف بیشتر برای فاصله های خفیف یا جلوگیری از باز شدن مجدد فاصله بعد از ارتودنسی استفاده می شود. این پلاک ها شفاف هستند و روی دندان قرار می گیرند و با فشار ملایم، فاصله را به تدریج کاهش می دهند. مزیت این روش، قابلیت خارج کردن از دهان هنگام غذا خوردن و مسواک زدن است. البته نتیجه آن به شدت فاصله بستگی دارد و برای فواصل زیاد کافی نیست.
جراحی فرنوم لب
در برخی افراد بافت فرنوم (بافت اتصال دهنده لب بالا به لثه) بیش از حد بزرگ یا پایین است و باعث فاصله بین دندان های جلو می شود. در این شرایط با یک جراحی کوچک و ساده، فرنوم اصلاح شده و امکان بستن فاصله فراهم می شود. معمولاً پس از این عمل نیاز است از ارتودنسی یا کامپوزیت برای تکمیل نتیجه استفاده شود. این روش از بازگشت مجدد فاصله جلوگیری می کند.
بریج دندانی
اگر فاصله بین دندان ها به دلیل نبودن یک دندان ایجاد شده باشد، بریج گزینه مناسبی است. در این روش دندان های مجاور تراش داده شده و یک دندان مصنوعی متصل به آن ها جایگزین دندان از دست رفته می شود. هم مشکل فاصله رفع می شود و هم جای خالی دندان پر می شود. بریج ظاهر طبیعی دارد و در چند جلسه قابل انجام است، اما نیاز به تراش دندان های کناری دارد.
ایمپلنت دندان
وقتی دندان دائمی از دست رفته باشد و فاصله ایجاد شده باشد، ایمپلنت بهترین و ماندگارترین روش درمان است. پایه تیتانیومی در استخوان فک قرار می گیرد و تاج دندان روی آن نصب می شود تا دقیقاً مانند دندان طبیعی عمل کند. ایمپلنت دندان علاوه بر بستن فاصله، از تحلیل استخوان جلوگیری می کند و نیازی به تراش دندان های مجاور ندارد. نتیجه درمان بسیار پایدار و طبیعی است.
از بین بردن فاصله دندان در خانه
در خانه می توان با روش های ساده و مراقبت های روزانه از افزایش فاصله دندان جلوگیری کرد یا در موارد خفیف آن را تا حدی کاهش داد. این اقدامات شامل رعایت بهداشت و تمرین های کنترل عادات دهانی است. روش های خانگی مؤثر:
- مسواک و نخ دندان منظم: جلوگیری از تجمع پلاک بین دندان ها و التهاب لثه
 - استفاده از دهان شویه آنتی باکتریال: کاهش عفونت و سلامت لثه
 - پرهیز از فشار زبان یا عادت های نادرست: مانند گاز گرفتن مداد یا فشار دادن دندان ها با زبان
 - پلاک شفاف یا ریتینر خانگی زیر نظر دندانپزشک: کاهش تدریجی فاصله های خفیف
 - مراجعه به دندانپزشک برای بررسی علت فاصله: حتی اگر درمان خانگی انجام می شود، علت زمینه ای باید کنترل شود.
 

فاصله بین دو دندان جلو را چگونه درمان کنیم؟
برای درمان فاصله بین دو دندان جلو (دیاسما) چند روش موثر وجود دارد که بسته به شدت فاصله، وضعیت دندانها و لثه و انتظار زیبایی، انتخاب میشوند:
- ارتودنسی ثابت یا متحرک: مناسب فاصلههای بزرگ یا چند ناحیه، نتیجه اصولی و ماندگار
 - کامپوزیت ونیر: سریع، اقتصادی، مناسب فاصلههای کوچک تا متوسط
 - لمینت سرامیکی: برای فاصله همراه با تغییر رنگ یا بدشکلی دندان، ظاهری طبیعی و ماندگار
 - باندینگ دندان: روش کمهزینه و سریع، مناسب فاصلههای کوچک، ترمیم آسان
 - جراحی فرنوم لب: وقتی بافت فرنوم باعث فاصله بین دندانهای جلو شده باشد
 - ریتنر یا پلاک شفاف: کاهش تدریجی فاصلههای خفیف و جلوگیری از بازگشت آن
 - بریج دندانی: جایگزینی دندان گمشده و بستن فاصله ناشی از نبود دندان
 - ایمپلنت دندان: بهترین گزینه برای جایگزینی دندان از دست رفته و بستن فاصله به صورت دائمی
 
هزینه بستن فاصله بین دندان ها
هزینه بستن فاصله دندان ها بسته به روش درمان، شدت مشکل و کلینیک مورد نظر متفاوت است. روش های ساده و خانگی مانند ریتینر و پلاک شفاف هزینه کمتری دارند، در حالی که روش های کلینیکی مثل ارتودنسی، کامپوزیت، لمینت، بریج یا ایمپلنت هزینه بالاتری دارند. تقریبی هزینه ها بر اساس روش درمان:
- ارتودنسی: بسته به نوع ثابت یا متحرک، ۱۰ تا ۵۰ میلیون تومان
 - کامپوزیت ونیر: هر دندان حدود ۱ تا ۳ میلیون تومان
 - لمینت سرامیکی: هر دندان حدود ۳ تا ۶ میلیون تومان
 - بریج دندانی: بسته به تعداد دندان ها، ۵ تا ۱۵ میلیون تومان
 - ایمپلنت دندان: هر دندان حدود ۱۰ تا ۲۰ میلیون تومان
 
هزینه دقیق بستگی به وضعیت دندان ها، تعداد دندان های مورد درمان و تجهیزات کلینیک دارد و بهتر است قبل از اقدام، مشاوره تخصصی دریافت شود.
پر كردن فاصله بين دندانها با مواد
پر کردن فاصله بین دندان ها با مواد دندانپزشکی یکی از روش های سریع و کم تهاجمی برای اصلاح ظاهر دندان هاست. در این روش از کامپوزیت ونیر یا رزین همرنگ دندان استفاده می شود تا فضای خالی بین دندان ها پوشانده شود. این روش مناسب فاصله های کوچک تا متوسط است و نیاز به تراش زیاد دندان ندارد، نتیجه آن بلافاصله قابل مشاهده است و ظاهر لبخند را بهبود می بخشد.
مزایای این روش شامل سرعت انجام، هزینه کمتر نسبت به لمینت، و قابلیت ترمیم آسان در صورت آسیب یا تغییر رنگ است. با مراقبت صحیح، ماندگاری پرکردن فاصله بین دندان ها چندین سال دوام دارد.
علت فاصله افتادن بین دندانها در بزرگسالی
فاصله بین دندان ها در بزرگسالی معمولاً به دلایل مختلف ایجاد می شود که هم به عوامل ساختاری و هم به عوامل محیطی مرتبط هستند. مهم ترین علل عبارت اند از:
- بیماری های لثه و تحلیل استخوان: التهاب و تحلیل استخوان فک باعث شل شدن دندان ها و باز شدن فاصله می شود.
 - از دست رفتن یک یا چند دندان: دندان های مجاور به سمت فضای خالی حرکت می کنند و فاصله ایجاد می شود.
 - فشار و عادت های دهانی نادرست: فشار زبان، گاز گرفتن اجسام یا مکیدن طولانی مدت انگشت.
 - فرنوم لب بزرگ یا پایین: بافت اتصال دهنده لب بالا به لثه بیش از حد باعث فاصله بین دندان های جلو می شود.
 - ارتودنسی ناقص یا عدم استفاده از ریتینر: بعد از درمان ارتودنسی، اگر ریتینر استفاده نشود، دندان ها دوباره حرکت کرده و فاصله ایجاد می کنند.
 - عوامل ژنتیکی و اندازه دندان ها: کوچک بودن دندان ها نسبت به فک می تواند فاصله طبیعی ایجاد کند.
 
در بزرگسالان، شناسایی علت دقیق فاصله اهمیت دارد تا روش درمانی مناسب انتخاب شود و نتیجه ماندگار باشد.