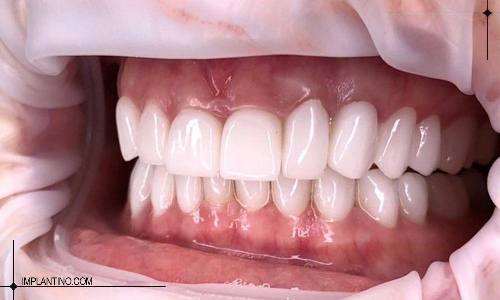
حرف زدن بعد از کامپوزیت دندان چگونه می شود؟
بعد از انجام کامپوزیت دندان، اغلب افراد متوجه می شوند که نحوه حرف زدن آن ها کمی تغییر کرده است. این تغییرات معمولاً شامل احساس وجود دندان های جدید در دهان، لمس زبان با سطح کامپوزیت و ایجاد فشارهای متفاوت هنگام تلفظ برخی حروف است. خوشبختانه، این حالت معمولاً موقت است و با گذشت چند روز تا چند هفته، دهان و زبان به شکل و ضخامت جدید دندان ها عادت می کنند و گفتار به حالت طبیعی بازمی گردد.

آیا کامپوزیت روی حرف زدن تأثیر دارد؟
بله، کامپوزیت دندان می تواند به طور موقت روی حرف زدن تأثیر بگذارد. این تأثیر معمولاً به دلیل تغییر شکل و ضخامت دندان ها، موقعیت زبان و تماس آن با دندان های جدید است. برخی حروف مثل «س»، «ش» و «ث» ممکن است در ابتدا کمی دشوارتر تلفظ شوند، اما با عادت کردن دهان و تمرین ساده، گفتار طبیعی به سرعت بازمی گردد.
آیا حرف زدن بعد از کامپوزیت دندان تغییر می کند؟
بسیاری از افرادی که کامپوزیت دندان انجام می دهند، در روزها یا هفته های اولیه متوجه تغییراتی در نحوه حرف زدن خود می شوند. این تغییرات معمولاً شامل دشواری در تلفظ برخی حروف مانند «س»، «ش» و «ث»، احساس ضخامت یا ارتفاع بیشتر دندان ها و تماس زبان با سطوح جدید کامپوزیت است. دلیل این تغییرات این است که دهان و زبان شما باید با شکل، اندازه و موقعیت جدید دندان ها سازگار شوند.
این تغییرات معمولاً موقتی هستند و با تمرین های ساده گفتاری و گذشت زمان، زبان و لب ها به موقعیت جدید عادت می کنند. در برخی موارد، اگر ضخامت کامپوزیت بیش از حد باشد یا شکل دندان ها به درستی تراشیده نشده باشد، این تغییرات ممکن است طولانی تر باشد و نیاز به تنظیم مجدد توسط دندانپزشک داشته باشد. بنابراین، داشتن صبر و رعایت نکات توصیه شده توسط متخصص، کلید بازگشت گفتار طبیعی بعد از کامپوزیت است.
چرا بعد از کامپوزیت دندان حرف زدن تغییر می کند؟
حرف زدن بعد از کامپوزیت دندان معمولاً به دلیل تغییرات فیزیکی در دهان رخ می دهد. وقتی دندان ها با کامپوزیت بازسازی می شوند، شکل، ضخامت و ارتفاع آن ها ممکن است کمی متفاوت از قبل شود. این تغییر باعث می شود زبان، لب ها و حتی گونه ها برای پیدا کردن جایگاه مناسب خود هنگام تلفظ حروف، کمی زمان نیاز داشته باشند.
لطفا جهت رزرو نوبت در کلینیک ایمپلنتینو از طریق دکمه رو به رو اقدام کنید:
علاوه بر این، برخی حروف به تماس دقیق زبان با دندان ها نیاز دارند، بنابراین کوچک ترین تغییر در سطح دندان ها می تواند باعث شود که تلفظ در ابتدا کمی متفاوت یا نامطمئن به نظر برسد. همچنین، حس کردن جسم جدید در دهان و واکنش طبیعی بدن به حضور مواد خارجی، نقش مهمی در این تغییرات موقت دارد.
اکثر افراد بعد از چند روز تا چند هفته، با تمرین ساده و عادت کردن دهان و زبان، حرف زدن طبیعی خود را بازمی یابند. اگر تغییرات طولانی شود، ممکن است نیاز به مراجعه به دندانپزشک برای تنظیم یا اصلاح کامپوزیت باشد.

آیا کامپوزیت دندان به طور دائم حرف زدن را تغییر دهد؟
خیر، در اکثر موارد کامپوزیت دندان تأثیر دائمی بر حرف زدن ندارد. تغییرات گفتاری بعد از کامپوزیت معمولاً موقت هستند و مربوط به عادت کردن زبان و لب ها به شکل و ارتفاع جدید دندان ها می باشند.
با این حال، در صورتی که کامپوزیت به طور نامناسب طراحی شده باشد، ضخامت زیادی داشته باشد یا فاصله دندان ها و تماس ها درست تنظیم نشده باشد، ممکن است مشکلات تلفظ طولانی تر شوند و نیاز به اصلاح توسط دندانپزشک داشته باشند. رعایت نکات مراقبتی، انجام تمرینات گفتاری ساده و مراجعه به متخصص در صورت نیاز، معمولاً باعث بازگشت حرف زدن طبیعی به سرعت می شود.
چرا بعد از کامپوزیت تلفظ بعضی حروف تغییر می کند؟
تلفظ برخی حروف بعد از کامپوزیت دندان ممکن است در ابتدا تغییر کند، به ویژه حروفی که نیاز به تماس دقیق زبان با دندان ها دارند، مانند «س»، «ش»، «ث» و «ت». دلیل این تغییرات، تغییر سطح دندان ها و موقعیت زبان هنگام صحبت کردن است.
کامپوزیت دندان، اگرچه ظاهری طبیعی به دندان ها می دهد، می تواند ارتفاع یا ضخامت جزئی ایجاد کند که باعث می شود زبان به طور موقت در پیدا کردن موقعیت صحیح خود برای تلفظ برخی صداها دچار مشکل شود. خوشبختانه، با تمرین گفتار ساده و گذشت چند روز تا چند هفته، زبان و دهان به شکل جدید دندان ها عادت می کنند و تلفظ به حالت طبیعی بازمی گردد.

ضخامت زیاد کامپوزیت باعث مشکل در صحبت کردن می شود؟
بله، ضخامت بیش از حد کامپوزیت دندان می تواند باعث ایجاد مشکلات گفتاری شود. وقتی کامپوزیت روی دندان ها بیش از حد برجسته یا ضخیم باشد، زبان و لب ها برای تماس صحیح با دندان ها هنگام تلفظ حروف دچار مشکل می شوند. این موضوع می تواند باعث شود حروفی مانند «س»، «ش» و «ث» در ابتدا نادرست یا نامطمئن تلفظ شوند.
خوشبختانه این مشکل معمولاً قابل اصلاح است. دندانپزشک می تواند با تنظیم سطح کامپوزیت یا اصلاح ضخامت آن، شرایط را برای حرف زدن راحت تر فراهم کند. رعایت نکات مراقبتی و صبر کردن برای عادت کردن دهان و زبان نیز نقش مهمی در بازگشت گفتار طبیعی دارد.
تاثیر کامپوزیت دندان بر گفتار
کامپوزیت دندان می تواند به طور موقت تاثیری بر گفتار و تلفظ برخی حروف داشته باشد. تغییرات اصلی ناشی از ارتفاع، ضخامت و شکل جدید دندان ها است که باعث می شود زبان و لب ها برای پیدا کردن جایگاه صحیح خود هنگام صحبت کردن کمی زمان نیاز داشته باشند.
این تاثیر معمولاً موقت است و با تمرین گفتاری، تکرار تلفظ حروف و عادت کردن دهان و زبان، گفتار به حالت طبیعی بازمی گردد. در صورتی که کامپوزیت به طور نامناسب طراحی شده باشد، مشکلات گفتاری ممکن است طولانی تر شوند و نیاز به اصلاح توسط دندانپزشک داشته باشند. به طور کلی، رعایت نکات مراقبتی و مراجعه منظم به متخصص، کلید حفظ گفتار طبیعی بعد از کامپوزیت است.
توصیه های دندانپزشکان برای حرف زدن راحت تر بعد از کامپوزیت
دندانپزشکان برای کمک به بازگشت سریع گفتار طبیعی بعد از کامپوزیت، چند توصیه مهم دارند:
- تمرین تلفظ حروف مشکل ساز: حروفی مثل «س»، «ش» و «ث» را با آرامش و تکرار تمرین کنید تا زبان به موقعیت جدید دندان ها عادت کند.
- صبر و عادت دادن دهان: دهان و زبان نیاز دارند چند روز تا چند هفته با شکل و ضخامت جدید دندان ها سازگار شوند.
- استفاده از آب و نرم کننده دهان: مرطوب نگه داشتن دهان و لب ها باعث راحتی بیشتر هنگام صحبت کردن می شود.
- مراجعه به دندانپزشک در صورت مشکل طولانی مدت: اگر پس از چند هفته هنوز تلفظ حروف دشوار است، ممکن است نیاز به تنظیم مجدد یا تراشیدن جزئی کامپوزیت باشد.
- اجتناب از فشار زیاد روی دندان ها: تا زمانی که کامپوزیت به خوبی با دهان سازگار نشده است، از جویدن مواد سفت یا گاز گرفتن شدید خودداری کنید.
با رعایت این نکات، اغلب افراد می توانند در عرض چند روز تا چند هفته حرف زدن طبیعی خود را باز یابند و از لبخند و گفتار راحت لذت ببرند.