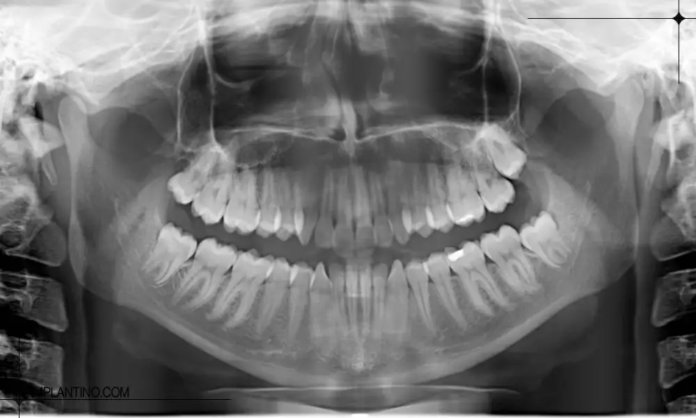
عکس opg چیست؟
OPG که مخفف Orthopantomogram است، یک نوع رادیوگرافی پانورامیک محسوب می شود که تصویری دو بعدی از کل فک بالا و پایین، دندان ها و بافت های اطراف آن ارائه می دهد. برخلاف رادیوگرافی تک دندان، OPG دید کلی و یکپارچه ای از دهان فراهم می کند و برای تشخیص مشکلات گسترده تر، برنامه ریزی درمان های پیچیده و پایش وضعیت دندان ها و فک بسیار کاربرد دارد.

بیشتر بخوانید:نحوه ایمپلنت دندان
مراحل گرفتن عکس او پی جی
فرایند گرفتن عکس OPG شامل چند مرحله ساده و مشخص است که هر کدام برای اطمینان از کیفیت تصویر و دقت تشخیص اهمیت دارند. در ادامه مهم ترین مراحل این فرآیند آورده شده است:
- قرار گرفتن بیمار روی دستگاه: بیمار روی دستگاه می ایستد یا می نشیند و چانه خود را روی نگهدارنده مخصوص قرار می دهد تا موقعیت فک ثابت شود.
- ثابت کردن سر و فک: با استفاده از ابزارهای مخصوص، سر و فک بیمار ثابت می شوند تا حرکت هنگام تصویربرداری به حداقل برسد و تصویر واضح باشد.
- چرخش دستگاه: دستگاه به آرامی دور سر بیمار می چرخد و تصویری پانورامیک از تمام دندان ها و فک ها ثبت می کند.
- ثبت تصویر: در طول چرخش، پرتوهای ایکس با زاویه مناسب تابیده می شوند و تصویر کامل دهان در یک فیلم یا فایل دیجیتال ایجاد می شود.
- آماده سازی عکس برای بررسی: پس از پایان تصویربرداری که معمولاً کمتر از یک دقیقه طول می کشد، عکس آماده مشاهده و تحلیل توسط دندانپزشک است.

بیشتر بخوانید: کامپوزیت دندان
کاربردهای عکس opg
عکس OPG کاربردهای متعددی در دندانپزشکی دارد و به دندانپزشکان امکان می دهد تا مشکلات دهان و فک را به صورت جامع بررسی کنند. جدول زیر مهم ترین کاربردهای این نوع تصویربرداری را نشان می دهد:
لطفا جهت رزرو نوبت در کلینیک ایمپلنتینو از طریق دکمه رو به رو اقدام کنید:
| کاربرد | توضیح تخصصی |
| بررسی وضعیت تمام دندان ها | مشاهده سلامت دندان ها و تشخیص پوسیدگی ها، حتی در مناطقی که با رادیوگرافی معمولی دیده نمی شوند. |
| ارزیابی دندان های عقل و نهفته | تعیین موقعیت دقیق، زاویه رشد و احتمال نیاز به جراحی دندان عقل یا دندان های نهفته. |
| تشخیص کیست ها و تومورها | شناسایی ضایعات استخوانی یا بافت نرم در فک که ممکن است به درمان فوری نیاز داشته باشند. |
| برنامه ریزی ارتودنسی | کمک به طراحی درمان های ارتودنسی با دید کامل از موقعیت دندان ها و ساختار فک. |
| ارزیابی ایمپلنت | بررسی تراکم استخوان و انتخاب محل مناسب برای کاشت ایمپلنت دندانی. |
| بررسی ناهنجاری های فک و مفصل | تشخیص انحراف فک، مشکلات مفصل گیجگاهی-فکی و سایر ناهنجاری های ساختاری. |
موارد قابل تشخیص توسط عکس opg
عکس OPG می تواند طیف وسیعی از مشکلات دندانی و فکی را شناسایی کند. جدول زیر مهم ترین موارد قابل تشخیص توسط این نوع تصویربرداری را نشان می دهد:
| مشکل قابل تشخیص | توضیح تخصصی |
| پوسیدگی دندان ها | شناسایی تخریب دندان ها، حتی در مناطق دشوار که با رادیوگرافی معمولی قابل مشاهده نیست. |
| دندان نهفته یا عقل | تعیین موقعیت دقیق، زاویه رشد و احتمال نیاز به جراحی دندان های نهفته. |
| عفونت یا آبسه | تشخیص نواحی عفونی در ریشه دندان یا استخوان فک که نیاز به درمان فوری دارند. |
| کیست و تومور | شناسایی ضایعات غیرطبیعی استخوانی یا بافت نرم در فک که ممکن است تهدید کننده سلامت باشند. |
| ناهنجاری های فک | بررسی انحراف فک، مشکلات مفصل فکی و رشد غیرطبیعی ساختار استخوانی. |
| ارزیابی ایمپلنت | بررسی تراکم استخوان و انتخاب محل مناسب برای کاشت ایمپلنت با دقت بالا. |
مزایای عکس OPG
عکس OPG با ارائه یک تصویر کامل و پانورامیک از دندان ها و فک، مزایای زیادی دارد که باعث می شود این روش یکی از پرکاربردترین ابزارهای تصویربرداری در دندانپزشکی باشد. مهم ترین مزایای آن عبارتند از:
- دید جامع و یکپارچه: امکان مشاهده تمام دندان ها و فک ها در یک تصویر.
- کاهش نیاز به رادیوگرافی متعدد: با یک تصویر، اطلاعات کلی و دقیقی از دهان فراهم می شود.
- کمتر بودن تابش اشعه: نسبت به گرفتن چندین رادیوگرافی جداگانه، اشعه کمتری به بیمار وارد می شود.
- سرعت و راحتی: تصویربرداری سریع و بدون درد، معمولاً کمتر از یک دقیقه طول می کشد.
- کمک به برنامه ریزی درمان: اطلاعات دقیق برای ارتودنسی، جراحی، ایمپلنت و درمان های پیچیده دندان فراهم می کند.
- مناسب برای تمام گروه های سنی: برای کودکان و بزرگسالان قابل استفاده است.
معایب عکس OPG
با وجود مزایای زیاد، عکس OPG برخی محدودیت ها و معایب دارد که دانستن آن ها برای انتخاب درست روش تصویربرداری اهمیت دارد:
- جزئیات کمتر نسبت به رادیوگرافی تک دندان: بعضی پوسیدگی های کوچک یا مشکلات جزئی ممکن است در تصویر پانورامیک دیده نشوند.
- تحریف احتمالی تصویر: به دلیل زاویه چرخش دستگاه، گاهی اندازه ها یا موقعیت دندان ها کمی تغییر یافته به نظر می رسد.
- عدم تشخیص دقیق برخی مشکلات ریشه: برای بررسی دقیق ریشه ها یا کانال های دندان، ممکن است نیاز به رادیوگرافی داخل دهانی باشد.
- محدودیت در بافت نرم: این روش بیشتر برای استخوان و دندان مناسب است و جزئیات بافت نرم را به خوبی نشان نمی دهد.
- هزینه نسبتاً بالاتر نسبت به رادیوگرافی ساده: اگرچه تصویر کامل تر ارائه می شود، هزینه آن معمولاً بیشتر از رادیوگرافی تک دندان است.

هزینه عکس opg
هزینه عکس OPG در کلینیک دندانپزشکی به عوامل مختلفی بستگی دارد. این عوامل شامل مکان انجام تصویربرداری (کلینیک یا بیمارستان)، نوع دستگاه، تجربه و تخصص دندانپزشک یا رادیولوژیست و حتی منطقه جغرافیایی می شود.
به طور کلی، قیمت OPG نسبت به رادیوگرافی تک دندان بالاتر است، اما با توجه به پوشش کامل دهان و فک و کاهش نیاز به چندین عکس جداگانه، از نظر تشخیصی بسیار مقرون به صرفه است. در بسیاری از کلینیک ها، هزینه OPG شامل آماده سازی بیمار، گرفتن عکس و ارائه فایل دیجیتال یا فیلم است.