گوشت اضافه لثه چیست؟
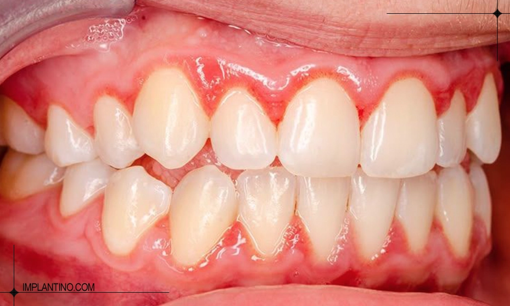
گوشت اضافه لثه به رشد غیرطبیعی و بیش ازحد بافت لثه گفته می شود که معمولاً به صورت برجستگی، توده نرم یا سفت روی لثه ظاهر می شود. این عارضه ممکن است در اطراف دندان ها، بین دو دندان یا حتی روی خط لثه دیده شود و اندازه آن از یک برآمدگی کوچک تا توده ای قابل توجه متغیر باشد.
در بسیاری از موارد، گوشت اضافه لثه واکنشی به التهاب مزمن، تحریک مداوم یا تجمع پلاک و جرم دندانی است. با این حال، گاهی این رشد اضافی می تواند ناشی از عوامل هورمونی، مصرف برخی داروها یا اختلالات سیستم ایمنی بدن باشد. تشخیص دقیق نوع گوشت اضافه لثه توسط دندانپزشک اهمیت زیادی دارد، زیرا برخی از این ضایعات خوش خیم هستند و برخی دیگر نیاز به بررسی و درمان تخصصی دارند.

علل اصلی ایجاد گوشت اضافه لثه
گوشت اضافه لثه معمولاً در اثر التهاب مزمن، تحریک مداوم بافت لثه یا واکنش بدن به عوامل خارجی ایجاد می شود. رعایت نکردن بهداشت دهان، تغییرات هورمونی و مصرف برخی داروها از مهم ترین دلایل بروز این عارضه هستند.
| علت | توضیح |
| بهداشت نامناسب دهان و دندان | تجمع پلاک و جرم باعث التهاب لثه و رشد غیرطبیعی بافت می شود |
| التهاب و عفونت لثه | بیماری های لثه مانند ژنژیویت زمینه ساز گوشت اضافه هستند |
| تحریک مداوم لثه | دندان شکسته، روکش نامناسب یا پروتز غیراستاندارد |
| تغییرات هورمونی | بارداری، بلوغ یا اختلالات هورمونی |
| مصرف برخی داروها | داروهای ضدتشنج، فشار خون یا سرکوب کننده ایمنی |
| سیستم ایمنی ضعیف | کاهش توان بدن در کنترل التهاب لثه |
انواع گوشت اضافه لثه
گوشت اضافه لثه بسته به علت ایجاد، ظاهر و شدت رشد به انواع مختلفی تقسیم می شود که هر کدام نیاز به بررسی و درمان متفاوتی دارند. شناخت نوع گوشت اضافه لثه به دندانپزشک کمک می کند تا مناسب ترین روش درمان را انتخاب کند.
- گوشت اضافه التهابی لثه
شایع ترین نوع که در اثر تجمع پلاک، جرم و التهاب مزمن لثه ایجاد می شود و معمولاً با خونریزی همراه است.
لطفا جهت رزرو نوبت در کلینیک ایمپلنتینو از طریق دکمه رو به رو اقدام کنید:
- گوشت اضافه فیبروزی لثه
بافتی سفت و ضخیم دارد و اغلب در نتیجه تحریک طولانی مدت یا مصرف برخی داروها ایجاد می شود.
- گوشت اضافه هورمونی لثه
بیشتر در دوران بارداری یا بلوغ دیده می شود و به تغییرات هورمونی بدن مرتبط است.
- گوشت اضافه ناشی از دارو
به دنبال مصرف داروهای خاص مانند داروهای ضدتشنج یا فشار خون ظاهر می شود.
- گوشت اضافه عفونی یا واکنشی
در پاسخ به عفونت های دهانی، زخم یا آسیب های لثه ای ایجاد می شود.
- گوشت اضافه لثه بعد از ایمپلنت
معمولاً در اثر التهاب اطراف ایمپلنت، بهداشت نامناسب یا فشار نادرست روکش ایجاد می شود و در صورت بی توجهی می تواند به اطراف ایمپلنت آسیب بزند.
- گوشت اضافه لثه بعد از کشیدن دندان
به دلیل ترمیم بیش ازحد بافت، عفونت یا باقی ماندن ریشه دندان ایجاد می شود و اغلب به صورت برجستگی نرم در محل کشیدن دندان دیده می شود.
- گوشت اضافه لثه بعد از ارتودنسی
به علت تجمع پلاک اطراف براکت ها، تحریک مداوم لثه و رعایت نکردن بهداشت دهان به وجود می آید و در بیماران ارتودنسی شایع است.
- گوشت اضافه لثه اطراف روکش یا پروتز
زمانی ایجاد می شود که روکش، بریج یا پروتز به درستی روی لثه قرار نگرفته و باعث فشار یا التهاب مزمن شود.
- گوشت اضافه لثه در اثر جراحی های دهان
ممکن است پس از جراحی لثه، جراحی دندان عقل یا سایر مداخلات دهانی در روند ترمیم غیرطبیعی ایجاد شود.

آیا گوشت اضافه لثه خطرناک است؟
در اغلب موارد، گوشت اضافه لثه خطرناک نیست و به عنوان یک واکنش خوش خیم به التهاب یا تحریک بافت لثه ایجاد می شود. با این حال، بی توجهی به آن می تواند باعث تشدید التهاب، خونریزی مداوم، بوی بد دهان و حتی آسیب به استخوان اطراف دندان شود.
در برخی شرایط نادر، گوشت اضافه لثه ممکن است نشانه ای از عفونت شدید، اختلالات سیستم ایمنی یا ضایعات غیرطبیعی دهانی باشد. به همین دلیل، اگر این برجستگی با درد شدید، رشد سریع، تغییر رنگ یا ترشح چرک همراه باشد، مراجعه به دندانپزشک برای تشخیص دقیق و جلوگیری از عوارض جدی ضروری است.
راه های درمان درمان گوشت اضافه لثه
درمان گوشت اضافه لثه به علت ایجاد، شدت التهاب و محل قرارگیری آن بستگی دارد. در بسیاری از موارد، با برطرف کردن عامل تحریک کننده و رعایت بهداشت دهان، اندازه گوشت اضافه کاهش می یابد، اما در موارد پیشرفته نیاز به درمان تخصصی وجود دارد.
- جرم گیری و پاکسازی حرفه ای لثه
اولین و مهم ترین قدم درمانی برای کاهش التهاب و جلوگیری از پیشرفت گوشت اضافه لثه. - اصلاح روکش، ایمپلنت یا براکت های ارتودنسی
در صورت وجود فشار یا تحریک مداوم، اصلاح یا تعویض آن ها ضروری است. - درمان دارویی
استفاده از دهان شویه های ضدالتهاب، آنتی بیوتیک ها یا داروهای تجویز شده توسط دندانپزشک. - جراحی لثه یا برداشت گوشت اضافه
در موارد شدید یا مقاوم به درمان، برداشت بافت اضافی با لیزر یا جراحی انجام می شود. - کنترل بیماری های زمینه ای
مانند دیابت یا اختلالات هورمونی که می توانند روند بهبود لثه را مختل کنند.

درمان خانگی گوشت اضافه لثه وجود دارد؟
درمان خانگی گوشت اضافه لثه به طور قطعی وجود ندارد، اما برخی روش های خانگی می توانند به کاهش التهاب، درد و جلوگیری از پیشرفت آن کمک کنند. این روش ها بیشتر نقش مکمل درمان های دندانپزشکی را دارند و جایگزین درمان تخصصی نیستند.
- رعایت دقیق بهداشت دهان و دندان با مسواک نرم و نخ دندان
- شست وشوی دهان با آب نمک ولرم برای کاهش التهاب لثه
- استفاده از دهان شویه های آنتی باکتریال طبق نظر دندانپزشک
- پرهیز از تحریک لثه با غذاهای سفت، تند یا بسیار داغ
- ترک سیگار و دخانیات که التهاب لثه را تشدید می کنند
در صورتی که گوشت اضافه لثه کاهش پیدا نکند یا همراه با درد، خونریزی شدید یا رشد سریع باشد، مراجعه به دندانپزشک ضروری است تا از بروز عوارض جدی جلوگیری شود.