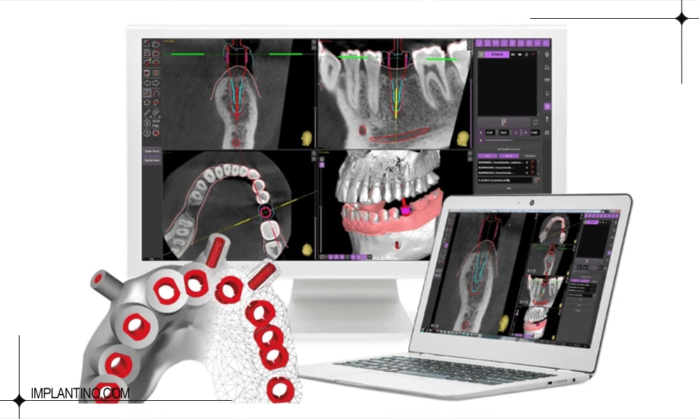
تفاوت ایمپلنت دیجیتال و معمولی چیست؟
ایمپلنت دیجیتال و معمولی دو روش جایگزینی دندان هستند که هر یک فرآیند، دقت و تجهیزات خاص خود را دارند. ایمپلنت دیجیتال با استفاده از تکنولوژی های پیشرفته مانند اسکن سه بعدی و نرم افزارهای طراحی دیجیتال، امکان برنامه ریزی دقیق برای کاشت ایمپلنت و کاهش خطای انسانی را فراهم می کند. در مقابل، ایمپلنت دندان معمولی (سنتی) بیشتر بر تجربه دندانپزشک و روش های دستی متکی است و معمولاً زمان بری بیشتری دارد.
این تفاوت ها از نظر دقت، سرعت اجرا، راحتی بیمار و هزینه ها محسوس هستند و می توانند در تصمیم گیری برای انتخاب نوع ایمپلنت تأثیرگذار باشند.
| ویژگی | ایمپلنت دیجیتال | ایمپلنت معمولی (سنتی) |
| برنامه ریزی قبل از جراحی | طراحی سه بعدی با نرم افزار | ارزیابی دستی و تجربه پزشک |
| دقت و انطباق با استخوان | بسیار بالا | وابسته به مهارت پزشک |
| زمان جراحی | کوتاه تر | طولانی تر |
| درد و تورم بعد از جراحی | معمولاً کمتر | ممکن است بیشتر باشد |
| نیاز به تعداد جلسات | کمتر | بیشتر |
| هزینه | بالاتر | پایین تر |
| ریسک خطا | کم | نسبتاً بیشتر |
| تجهیزات مورد نیاز | تکنولوژی دیجیتال پیشرفته | ابزارهای معمولی و سنتی |
ایمپلنت دیجیتال بهتره یا معمولی
انتخاب بین ایمپلنت دیجیتال و معمولی بستگی به شرایط دهان و دندان، بودجه و ترجیح بیمار دارد. ایمپلنت دیجیتال به دلیل دقت بالاتر، کاهش خطا و زمان جراحی کوتاه تر، برای افرادی که به دنبال درمان سریع، کم درد و ظریف هستند، گزینه مناسب تری است. از طرف دیگر، ایمپلنت معمولی به دلیل هزینه کمتر و سابقه طولانی در دندانپزشکی، همچنان گزینه ای مطمئن برای بیمارانی است که محدودیت مالی دارند یا شرایط پیچیده استخوانی ندارند.
در نهایت، بهترین انتخاب باید با مشورت دندانپزشک و بررسی شرایط فردی انجام شود تا علاوه بر زیبایی، دوام و سلامت طولانی مدت دندان ها تضمین شود.
دقت و ظرافت در ایمپلنت دیجیتال و معمولی
یکی از مهم ترین تفاوت های بین ایمپلنت دیجیتال و معمولی، میزان دقت و ظرافت در جایگذاری ایمپلنت است. ایمپلنت دیجیتال با استفاده از اسکن سه بعدی و نرم افزارهای طراحی، امکان برنامه ریزی دقیق محل کاشت، زاویه و عمق ایمپلنت را فراهم می کند. این دقت بالا باعث کاهش ریسک آسیب به بافت های اطراف، کاهش نیاز به جراحی های اضافی و نتیجه ای طبیعی تر می شود.
لطفا جهت رزرو نوبت در کلینیک ایمپلنتینو از طریق دکمه رو به رو اقدام کنید:
در مقابل، ایمپلنت معمولی بیشتر به تجربه دندانپزشک وابسته است و احتمال خطای انسانی، حتی در دستان ماهرترین پزشکان، کمی بیشتر است. بنابراین، از نظر ظرافت و دقت، ایمپلنت دیجیتال گزینه برتری محسوب می شود.
| ویژگی | ایمپلنت دیجیتال | ایمپلنت معمولی (سنتی) |
| دقت در جایگذاری | بسیار بالا | متوسط تا بالا (وابسته به تجربه پزشک) |
| انطباق با استخوان و لثه | دقیق و پیش بینی شده | بستگی به مهارت پزشک دارد |
| احتمال آسیب به بافت های اطراف | بسیار کم | کمی بیشتر |
| نتیجه زیبایی نهایی | طبیعی تر و ظریف تر | طبیعی اما ممکن است کمی کمتر ظریف باشد |
| نیاز به اصلاحات بعدی | کمتر | احتمال نیاز بیشتر |
سرعت اجرای ایمپلنت دیجیتال و معمولی
یکی از تفاوت های مهم بین ایمپلنت دیجیتال و معمولی، سرعت اجرای درمان است. ایمپلنت دیجیتال با بهره گیری از اسکن سه بعدی، برنامه ریزی دقیق و راهنمای جراحی دیجیتال، زمان جراحی را به طور چشمگیری کاهش می دهد و اغلب نیاز به جلسات متعدد کمتر است. این روش باعث می شود بیمار تجربه راحت تر و دوره بهبودی کوتاه تری داشته باشد.
ایمپلنت معمولی، با روش سنتی، نیازمند ارزیابی دستی، قالب گیری و جراحی مرحله ای است که معمولاً زمان بیشتری می برد و ممکن است جلسات بیشتری برای رسیدن به نتیجه نهایی نیاز باشد.
| ویژگی | ایمپلنت دیجیتال | ایمپلنت معمولی (سنتی) |
| تعداد جلسات درمان | کمتر | بیشتر |
| زمان جراحی | کوتاه تر | طولانی تر |
| زمان بهبودی | سریع تر | کندتر |
| پیچیدگی برنامه ریزی | با نرم افزار دقیق | دستی و وابسته به تجربه |
| راحتی بیمار | بالاتر | متوسط |
مزایای ایمپلنت دیجیتال و معمولی
هر دو روش ایمپلنت دیجیتال و معمولی مزایای خاص خود را دارند که بسته به نیاز بیمار و شرایط دهان و دندان، می تواند مؤثر باشد. در ادامه مزایای ایمپلنت های دیجیتال و سنتی را بررسی خواهیم کرد.
مزایای ایمپلنت دیجیتال:
- دقت بالا در جایگذاری ایمپلنت
- کاهش خطای انسانی و آسیب به بافت های اطراف
- زمان جراحی کوتاه تر و نیاز به جلسات کمتر
- راحتی بیشتر برای بیمار و دوره بهبودی سریع تر
- نتیجه ظریف و طبیعی تر
مزایای ایمپلنت معمولی (سنتی):
- هزینه کمتر نسبت به ایمپلنت دیجیتال
- روش امتحان شده و قابل اعتماد با سابقه طولانی
- انعطاف در شرایط پیچیده استخوانی و فک
- دسترسی آسان تر برای بسیاری از کلینیک ها
| ویژگی | ایمپلنت دیجیتال | ایمپلنت معمولی (سنتی) |
| دقت و انطباق | بسیار بالا | وابسته به مهارت پزشک |
| زمان درمان | کوتاه تر | طولانی تر |
| راحتی بیمار | بالاتر | متوسط |
| هزینه | بیشتر | کمتر |
| نتیجه نهایی | طبیعی و ظریف | طبیعی اما ممکن است کمتر ظریف باشد |
| سابقه درمان | نسبتا جدید | طولانی و مورد اعتماد |
معایب ایمپلنت دیجیتال و سنتی
هر روش ایمپلنت، علاوه بر مزایا، معایبی نیز دارد که باید قبل از تصمیم گیری در نظر گرفته شود.
معایب ایمپلنت دیجیتال:
- هزینه بالاتر نسبت به ایمپلنت سنتی
- نیاز به تجهیزات پیشرفته و دسترسی محدود به کلینیک های مجهز
- وابستگی به تکنولوژی و نرم افزارهای دقیق
معایب ایمپلنت معمولی (سنتی):
- زمان طولانی تر برای انجام مراحل درمان
- دقت پایین تر نسبت به ایمپلنت دیجیتال
- احتمال خطای انسانی و نیاز به جلسات اصلاحی بیشتر
- دوره بهبودی طولانی تر و درد و تورم بیشتر
| ویژگی | ایمپلنت دیجیتال | ایمپلنت معمولی (سنتی) |
| هزینه | بالاتر | کمتر |
| نیاز به تجهیزات | پیشرفته و تخصصی | ابزارهای معمولی |
| دقت و انطباق | بسیار بالا | متوسط، وابسته به تجربه پزشک |
| زمان درمان | کوتاه تر | طولانی تر |
| احتمال خطا | کم | بیشتر |
| راحتی بیمار | بالاتر | متوسط |
| دوره بهبودی | سریع تر | کندتر |
تفاوت قیمت ایمپلنت دیجیتال و معمولی
یکی از نکات مهم در انتخاب روش ایمپلنت، تفاوت قیمت ایمپلنت دیجیتال و معمولی است. ایمپلنت دیجیتال به دلیل استفاده از تکنولوژی پیشرفته، نرم افزارهای طراحی سه بعدی و تجهیزات دقیق، هزینه بالاتری دارد. این هزینه بیشتر شامل برنامه ریزی دقیق، قالب گیری دیجیتال و راهنمای جراحی است که کیفیت و دقت بالاتری را به همراه دارد.
در مقابل، ایمپلنت معمولی (سنتی) از ابزارهای سنتی و تجربه دندانپزشک بهره می برد و بنابراین هزینه آن کمتر است. این روش برای بیمارانی که محدودیت مالی دارند، انتخابی منطقی و قابل اعتماد محسوب می شود.
| ویژگی | ایمپلنت دیجیتال | ایمپلنت معمولی (سنتی) |
| هزینه کل | بیشتر | کمتر |
| تجهیزات مورد نیاز | دیجیتال و پیشرفته | ابزارهای معمولی و سنتی |
| تعداد جلسات | کمتر | بیشتر |
| دقت و ظرافت | بسیار بالا | متوسط |
| ارزش طولانی مدت | بالا | متوسط |
تفاوت ایمپلنت لیزری و دیجیتال
ایمپلنت لیزری و دیجیتال هر دو از تکنولوژی های پیشرفته در دندانپزشکی مدرن محسوب می شوند، اما تفاوت های مهمی دارند. ایمپلنت دیجیتال بیشتر بر برنامه ریزی سه بعدی، طراحی دقیق محل کاشت و استفاده از راهنمای جراحی مبتنی است، در حالی که ایمپلنت لیزری با استفاده از لیزر، بر برش دقیق و کم تهاجمی بافت نرم و استخوان تمرکز دارد.
ایمپلنت لیزری می تواند خونریزی و درد بعد از جراحی را کاهش دهد و به بهبود سریع تر کمک کند، اما دقت برنامه ریزی دیجیتال در جایگذاری ایمپلنت هنوز در برخی موارد برتر است. انتخاب بین این دو روش بستگی به نیاز بیمار، شرایط استخوان و ترجیح دندانپزشک دارد.
| ویژگی | ایمپلنت دیجیتال | ایمپلنت لیزری |
| تمرکز تکنولوژی | برنامه ریزی سه بعدی و راهنمای جراحی | برش دقیق و کم تهاجمی بافت نرم و استخوان |
| دقت در جایگذاری | بسیار بالا | بالا اما کمتر از دیجیتال در برنامه ریزی |
| درد و تورم بعد از جراحی | کم | کمتر به دلیل کم تهاجمی بودن |
| زمان جراحی | کوتاه تر | کوتاه تا متوسط |
| نیاز به تجهیزات | پیشرفته | لیزر تخصصی |
| مناسب برای | دقت و زیبایی بالا | کاهش خونریزی و راحتی بیمار |

