باندینگ دندان

باندینگ دندان یک راه حل سریع و کم تهاجم برای ترمیم لب پریدگی ها، بستن فاصله های کوچک، پوشاندن تغییررنگ ها و فرم دهی جزئی دندان هاست. در این روش از رزین کامپوزیت همرنگ دندان استفاده می شود که معمولاً در یک جلسه روی دندان گذاشته، شکل داده و با نور ویژه سخت می شود؛ اغلب بدون نیاز به تراش زیاد مینای دندان و با برگشت پذیری بالا.

نام
عکس بعد از باندینگ دندان | رفع نقص، عیب و ایراد های دندان
دسترسی آسان

باندینگ دندان چیست؟

باندینگ دندان یکی از روش های پرطرفدار دندانپزشکی زیبایی است که در آن از رزین کامپوزیت همرنگ دندان برای اصلاح شکل، رنگ یا اندازه دندان ها استفاده می شود. این ماده روی سطح دندان قرار گرفته، به صورت دستی فرم داده می شود و سپس با تاباندن نور مخصوص سخت می گردد. در نهایت دندان پولیش می شود تا سطحی صاف و درخشان پیدا کند.

دلیل استفاده از باندینگ

باندینگ بیشتر برای مشکلات جزئی و سطحی کاربرد دارد؛ مثل ترمیم شکستگی های کوچک، پوشاندن لکه های تغییر رنگ یافته، بستن فاصله های خفیف بین دندان ها یا زیباتر کردن لبخند. نکته مهم این است که این درمان معمولاً بدون نیاز به تراش زیاد مینای دندان انجام می شود، به همین دلیل یکی از کم تهاجم ترین روش های زیبایی محسوب می شود.

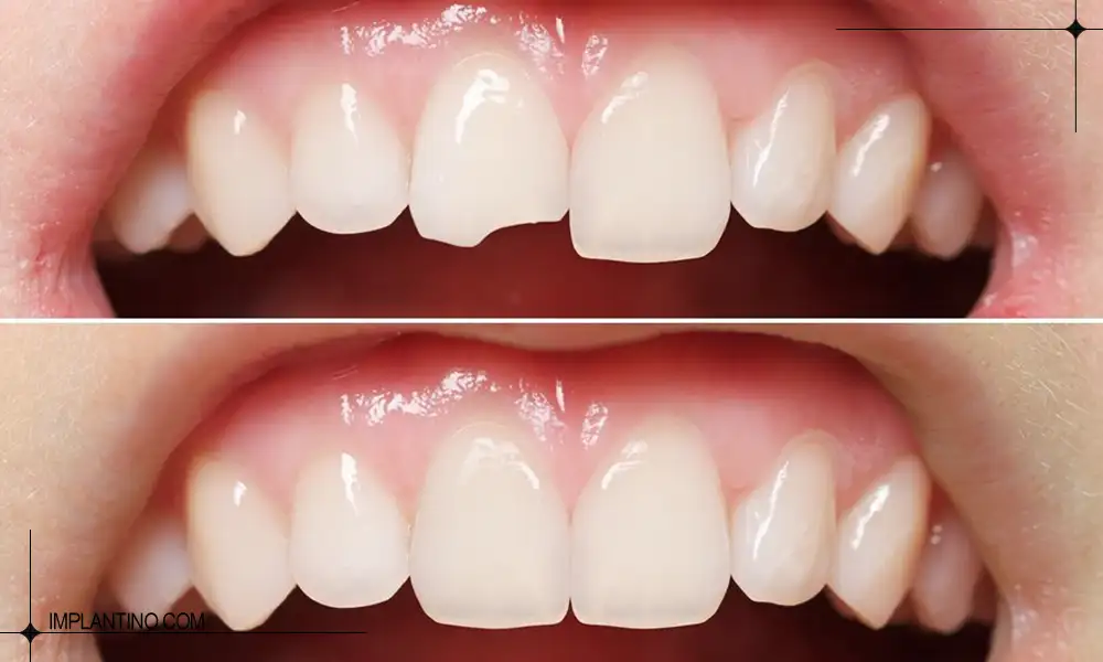
عکس قبل و بعد باندینگ دندان

بیشتر بخوانید: ایمپلنت دندان

مراحل انجام باندینگ دندان

باندینگ دندان معمولاً در یک جلسه و بدون نیاز به بی حسی یا تراش زیاد دندان انجام می شود. این فرآیند به ترتیب زیر انجام می گیرد:

  • مشاوره و انتخاب رنگ
    ابتدا دندانپزشک رنگ رزین کامپوزیت را متناسب با رنگ دندان های طبیعی انتخاب می کند تا نتیجه نهایی هماهنگ و طبیعی به نظر برسد.
  • آماده سازی سطح دندان
    سطح دندان کمی زبر می شود و از ژل اسیدی ضعیف برای ایجاد چسبندگی بهتر استفاده می شود. این کار به رزین کمک می کند تا به خوبی به مینای دندان متصل شود.
  • قرار دادن و شکل دهی رزین
    ماده کامپوزیتی روی دندان گذاشته می شود و دندانپزشک آن را به شکل دلخواه (برای پوشاندن ترک، پر کردن فاصله یا اصلاح فرم) قالب دهی می کند.
  • سخت کردن با نور مخصوص
    پس از فرم دهی، رزین با نور لیزر یا LED مخصوص سفت و سخت می شود.
  • پولیش و نهایی سازی
    در پایان سطح دندان صاف، براق و یکدست پولیش داده می شود تا شبیه دندان طبیعی دیده شود.

کل این فرآیند معمولاً بین ۳۰ تا ۶۰ دقیقه برای هر دندان طول می کشد و بیمار بلافاصله پس از درمان می تواند به فعالیت های روزانه خود برگردد.

Advertisements
بهترین لبخند ، لبخند شماست...

لطفا جهت رزرو نوبت در  کلینیک ایمپلنتینو از طریق دکمه رو به رو اقدام کنید:

کاربرد باندینگ دندان

باندینگ دندان بیشتر به عنوان یک درمان زیبایی-ترمیمی شناخته می شود که می تواند مشکلات خفیف تا متوسط ظاهری دندان ها را برطرف کند. مهم ترین کاربردهای آن عبارت اند از:

کاربرد توضیحات مزیت اصلی
ترمیم شکستگی و لب پریدگی بازسازی بخش های لب پریده یا ترک خورده دندان بازیابی سریع ظاهر طبیعی
بستن فاصله بین دندان ها پر کردن فضای خالی کوچک بین دندان ها (دیاسما) جایگزین سریع تر از ارتودنسی
پوشاندن تغییر رنگ و لکه ها اصلاح رنگ دندان هایی که با بلیچینگ سفید نمی شوند داشتن دندانی سفیدتر و یکنواخت
اصلاح فرم و اندازه دندان ها افزایش طول یا تغییر شکل دندان های کوچک و نامنظم هماهنگی بیشتر در لبخند
گزینه موقت به جای لمینت یا روکش انتخاب اقتصادی برای کسانی که نمی خواهند درمان دائمی انجام دهند هزینه کمتر و کم تهاجمی بودن

انواع باندینگ دندان

باندینگ دندان بر اساس هدف و محل استفاده به چند دسته تقسیم می شود. انتخاب نوع مناسب به شرایط دندان، نیاز زیبایی و نظر دندانپزشک بستگی دارد.

نوع باندینگ دندان توضیحات موارد کاربرد
باندینگ مستقیم (Direct Bonding) رزین کامپوزیت به طور مستقیم روی سطح دندان قرار می گیرد و همان جلسه شکل دهی و پولیش می شود. ترمیم شکستگی های کوچک، بستن فاصله های کم، اصلاح رنگ و فرم دندان
باندینگ غیرمستقیم (Indirect Bonding) کامپوزیت یا لمینت کامپوزیتی در لابراتوار ساخته می شود و سپس روی دندان چسبانده می شود. تغییرات وسیع تر در فرم و رنگ دندان، نیاز به دوام بالاتر
باندینگ ارتودنسی در ارتودنسی برای اتصال براکت ها به سطح دندان ها از مواد باندینگ استفاده می شود. ثابت نگه داشتن براکت ها و تجهیزات ارتودنسی
باندینگ پیشگیرانه (Preventive Bonding) برای پوشاندن شیارها و ترک های ریز مینای دندان استفاده می شود. جلوگیری از پوسیدگی و آسیب های آتی

در میان این موارد، باندینگ مستقیم رایج ترین نوع برای درمان های زیبایی لبخند است زیرا سریع تر، کم هزینه تر و کم تهاجمی تر است.

عکس بعد از باندینگ دندان

طول عمر باندینگ دندان

ماندگاری باندینگ دندان به عوامل مختلفی بستگی دارد؛ از جمله جنس کامپوزیت استفاده شده، مهارت دندانپزشک و میزان مراقبت بیمار. به طور معمول:

  • میانگین طول عمر باندینگ دندان بین ۳ تا ۱۰ سال است.
  • با مراقبت مناسب و رعایت بهداشت دهان و دندان، این مدت می تواند حتی بیشتر شود.
  • عادات مخربی مانند جویدن ناخن، باز کردن اجسام سخت با دندان، مصرف زیاد قهوه، چای و دخانیات باعث کاهش دوام باندینگ می شوند.
  • انجام چکاپ های منظم و پولیش دوره ای در مطب دندانپزشک به افزایش عمر باندینگ کمک می کند.

مزایای باندینگ دندان

باندینگ دندان به دلیل ویژگی های خاصش یکی از محبوب ترین درمان های زیبایی محسوب می شود. برخی از مهم ترین مزایای آن عبارت اند از:

  • کم تهاجمی بودن: نیاز به تراش یا برداشت مینای دندان بسیار کم است، در نتیجه دندان طبیعی حفظ می شود.
  • سرعت درمان: معمولاً در یک جلسه (۳۰ تا ۶۰ دقیقه برای هر دندان) انجام می شود.
  • هزینه مقرون به صرفه: نسبت به لمینت سرامیکی یا روکش دندان، قیمت کمتری دارد.
  • ظاهر طبیعی: رزین کامپوزیت در رنگ های مختلف انتخاب می شود و کاملاً با دندان های اطراف هماهنگ است.
  • انعطاف پذیری درمان: امکان اصلاح رنگ، فرم، اندازه و حتی بستن فاصله های کوچک را فراهم می کند.
  • قابلیت ترمیم آسان: در صورت لب پر شدن یا تغییر رنگ، می توان آن را به راحتی ترمیم یا جایگزین کرد.
  • مناسب برای اکثر افراد: به جز در مواردی که مشکلات شدید بایت یا پوسیدگی گسترده وجود داشته باشد، تقریباً اکثر بیماران می توانند از باندینگ بهره مند شوند.

معایب باندینگ دندان

با وجود مزایای زیاد، باندینگ دندان محدودیت ها و معایبی هم دارد که باید قبل از انتخاب این درمان در نظر گرفته شوند:

  • دوام کمتر نسبت به لمینت یا روکش: باندینگ معمولاً بین ۳ تا ۱۰ سال عمر می کند، در حالی که لمینت های سرامیکی دوام بالاتری دارند.
  • مقاومت کمتر در برابر لکه ها: رزین کامپوزیت سریع تر از سرامیک دچار تغییر رنگ می شود، مخصوصاً در افرادی که زیاد قهوه، چای یا دخانیات مصرف می کنند.
  • آسیب پذیری در برابر ضربه: احتمال لب پر شدن یا ترک خوردگی در باندینگ بیشتر از ونیر یا روکش است.
  • مناسب نبودن برای تغییرات وسیع: اگر تغییر شکل یا اصلاح گسترده نیاز باشد، باندینگ بهترین گزینه نیست و درمان های پیشرفته تر توصیه می شود.
  • نیاز به مراقبت بیشتر: بیمار باید به طور منظم برای پولیش یا ترمیم های جزئی به دندانپزشک مراجعه کند.

قبل و بعد از باندینگ دندان

هزینه باندینگ دندان

هزینه باندینگ دندان به عوامل مختلفی بستگی دارد و نمی توان یک قیمت ثابت برای همه بیماران اعلام کرد. مهم ترین عوامل تأثیرگذار عبارت اند از:

  • تعداد دندان های نیازمند باندینگ: هرچه تعداد دندان ها بیشتر باشد، هزینه نیز افزایش پیدا می کند.
  • میزان آسیب یا تغییرات موردنیاز: اصلاح لب پریدگی کوچک هزینه کمتری نسبت به بستن فاصله یا تغییر فرم کامل دندان دارد.
  • مهارت و تجربه دندانپزشک: دندانپزشکان زیبایی با تجربه بیشتر معمولاً هزینه بالاتری دریافت می کنند.
  • مواد مورد استفاده: کیفیت رزین کامپوزیت و برند آن می تواند روی قیمت نهایی تأثیر بگذارد.
  • محل جغرافیایی و کلینیک: هزینه باندینگ در شهرهای بزرگ و کلینیک های تخصصی معمولاً بالاتر است.

به طور تقریبی، هزینه باندینگ در ایران برای هر دندان بین ۲ تا ۶ میلیون تومان متغیر است (بسته به شرایط ذکرشده). در مقایسه با لمینت یا روکش، باندینگ دندان گزینه ای مقرون به صرفه تر محسوب می شود.

بهترین دندانپزشک باندینگ دندان در تهران

در کلینیک دندانپزشکی ایمپلنتینو، دو متخصص برجسته در حوزه زیبایی و ترمیم دندان، تجربه و مهارت بالایی در باندینگ دندان دارند:

دکتر شیرین شیدفر

  • تخصص: دندانپزشکی زیبایی و ترمیمی
  • تجربه در باندینگ دندان: انجام ترمیم های ظریف و اصلاح فرم دندان با رزین کامپوزیت
  • ویژگی ها: دقت بالا، رعایت زیبایی طبیعی، استفاده از مواد مرغوب

دکتر محمدتقی باغانی

  • تخصص: پروتزهای دندانی و ایمپلنت
  • تجربه در باندینگ دندان: اصلاح لب پریدگی، بستن فاصله ها و تغییر رنگ دندان ها با روش باندینگ
  • ویژگی ها: تخصص در تکنیک های پیشرفته ترمیمی، نتیجه ی ماندگار و طبیعی

هر دو دندانپزشک با استفاده از مواد کامپوزیت همرنگ دندان و تکنیک های مدرن، بهترین نتیجه را برای بیمارانی که به دنبال لبخندی زیبا و طبیعی هستند، ارائه می دهند.

رزین کامپوزیت ممکن است با گذر زمان و مصرف زیاد قهوه، چای یا دخانیات کمی تغییر رنگ دهد، اما با پولیش دوره‌ای و مراقبت مناسب می‌توان ظاهر آن را حفظ کرد.

این روش برای اصلاحات جزئی و متوسط مناسب است. افرادی که نیاز به اصلاحات گسترده یا مشکلات شدید بایت دارند، ممکن است نیاز به درمان‌های دیگر مانند لمینت یا روکش داشته باشند.

معمولاً هر دندان بین ۳۰ تا ۶۰ دقیقه طول می‌کشد و اغلب در یک جلسه قابل انجام است.

تا حد امکان از جویدن اجسام سخت مانند یخ یا ناخن خودداری کنید، زیرا رزین نسبت به سرامیک و روکش کمتر مقاوم است.

Picture of دکتر شیرین شیدفر
دکتر شیرین شیدفر

کلینیک دندانپزشکی دکتر شیرین شید فر با بهره‌گیری از تکنولوژی روز و تیمی متخصص، خدمات تخصصی ایمپلنت، زیبایی و درمانی را ارائه می‌دهد؛
ما به سلامت و زیبایی لبخند شما متعهدیم و تجربه‌ای بدون درد و حرفه‌ای را تضمین می‌کنیم.

همه پست ها

دیدگاهتان را بنویسید

نشانی ایمیل شما منتشر نخواهد شد. بخش‌های موردنیاز علامت‌گذاری شده‌اند *