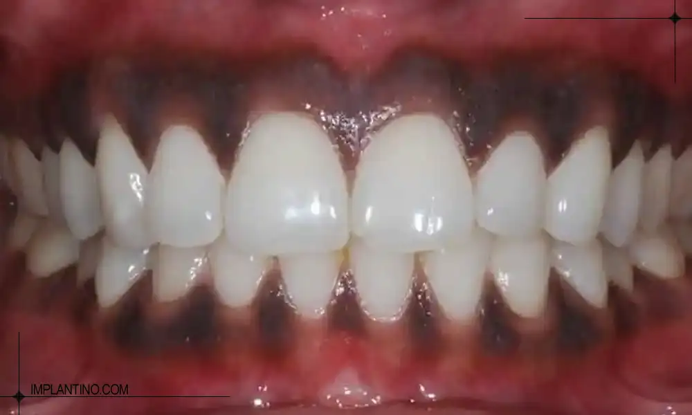
سیاهی یا تیرگی لثه چیست؟
سیاهی یا تیرگی لثه به تغییر رنگ طبیعی لثه از صورتی به خاکستری، قهوه ای یا حتی سیاه گفته می شود. این مشکل می تواند دلایل ژنتیکی، محیطی یا بیماری زا داشته باشد.
در برخی افراد، سیاهی لثه طبیعی و ناشی از تراکم ملانین است، اما در موارد دیگر، سیاهی یا تیرگی لثه ممکن است نشانه ای از مشکلاتی مانند التهاب، مصرف دخانیات یا بیماری های سیستمیک باشد.
توجه به تغییر رنگ لثه ها و درمان به موقع می تواند از پیشرفت مشکلات دهان و ایجاد عوارض جدی جلوگیری کند.

دلیل تیرگی لثه
تیرگی یا سیاهی لثه می تواند ناشی از عوامل مختلف ژنتیکی، محیطی یا بیماری زا باشد. شناخت این دلایل به دندانپزشک کمک می کند تا بهترین روش درمان یا پیشگیری را انتخاب کند. در جدول زیر، مهم ترین علت های تیرگی لثه به صورت جامع و تخصصی آورده شده است:
| عامل تیرگی لثه | توضیح تخصصی |
| ملانین | رنگدانه طبیعی موجود در لثه که در برخی افراد ژنتیکی باعث لثه های تیره می شود. |
| سیگار و دخانیات | نیکوتین و تار موجود در دخانیات باعث رسوب رنگدانه ها و سیاهی لثه می شود. |
| دارو | برخی داروها مانند داروهای ضد مالاریا، شیمی درمانی و داروهای فشار خون باعث تغییر رنگ لثه می شوند. |
| تتوی آمالگام | مواد دندانی حاوی فلزات می توانند نقاط خاکستری یا سیاهی ایجاد کنند. |
| ژنژیویت (بیماری لثه) | التهاب مزمن لثه و تجمع پلاک می تواند باعث تیرگی موضعی شود. |
| بیماری آدیسون | اختلال غدد فوق کلیوی که باعث افزایش ملانین و تیرگی لثه می شود. |
| سندرم پوتز–جگرز | اختلال ژنتیکی نادر با لکه های تیره در دهان و لثه ها. |
| هماتوم رویشی | ضربه یا آسیب به لثه باعث ایجاد نقاط سیاه می شود. |
| نووس یا خال آبی | لکه های موضعی ناشی از تجمع سلول های ملانین در لثه. |
| ملانوآکانتومای دهانی | ضایعات خوش خیم ملانینی که باعث تیرگی موضعی لثه می شوند. |
| سرطان دهان | در موارد نادر، تغییر رنگ لثه ممکن است نشانه ای از سرطان باشد. |
| بارداری | افزایش هورمون ها باعث افزایش ملانین و تیرگی لثه می شود. |
| کمبود ویتامین B12 یا C | کمبود این ویتامین ها می تواند باعث التهاب و تیرگی لثه شود. |
| ضربه یا فشار مزمن روی لثه | ایجاد هماتوم یا تیرگی ناشی از فشار دندان مصنوعی یا ارتودنسی. |
ملانین
ملانین رنگدانه طبیعی موجود در لثه است که در برخی افراد به طور ژنتیکی میزان بیشتری دارد. این موضوع باعث تیرگی یا سیاهی لثه می شود و معمولاً خطری برای سلامت لثه ایجاد نمی کند.
لطفا جهت رزرو نوبت در کلینیک ایمپلنتینو از طریق دکمه رو به رو اقدام کنید:
سیگار و دخانیات
مصرف نیکوتین و دیگر مواد موجود در دخانیات باعث رسوب رنگدانه ها روی لثه می شود. این عامل یکی از شایع ترین دلایل تیرگی لثه در افراد بزرگسال است و با ترک سیگار، به مرور کاهش می یابد.
دارو
برخی داروها مانند داروهای شیمی درمانی، داروهای ضد مالاریا و داروهای فشار خون می توانند باعث تغییر رنگ لثه و ایجاد سیاهی موضعی شوند.
تتوی آمالگام
فلزات موجود در آمالگام دندانی می توانند پس از مدتی باعث ایجاد نقاط خاکستری یا سیاهی روی لثه شوند. این تیرگی معمولاً محدود به نواحی اطراف دندان ترمیم شده است.
ژنژیویت (بیماری لثه)
التهاب مزمن لثه ناشی از تجمع پلاک و باکتری ها می تواند باعث تیرگی و قرمزی لثه شود. درمان به موقع ژنژیویت به بازگشت رنگ طبیعی لثه کمک می کند.
بیماری آدیسون
اختلال غدد فوق کلیوی باعث افزایش تولید ملانین در بدن می شود. این امر می تواند منجر به تیرگی گسترده لثه و پوست شود و نیاز به تشخیص پزشکی دارد.
سندرم پوتز–جگرز
این اختلال ژنتیکی نادر باعث ایجاد لکه های تیره روی لثه و دیگر نواحی دهان می شود. معمولاً با بررسی سابقه خانوادگی قابل شناسایی است.
هماتوم رویشی
ضربه یا فشار به لثه می تواند باعث ایجاد خون مردگی یا هماتوم شود. این نقاط به مرور زمان تیره می شوند و معمولاً خودبه خود رفع می شوند.
نووس یا خال آبی
نووس یا خال آبی در دهان ضایعات ملانینی خوش خیم است که باعث ایجاد تیرگی موضعی در لثه می شود و اغلب نیاز به درمان خاصی ندارد.
ملانوآکانتومای دهانی
این ضایعات خوش خیم ناشی از تجمع سلول های ملانین هستند و باعث تیرگی لثه می شوند. در صورت افزایش سریع اندازه، بررسی تخصصی لازم است.
سرطان دهان
در موارد نادر، تغییر رنگ لثه و تیرگی آن می تواند نشانه ای از سرطان باشد. هر تغییر رنگ غیرطبیعی باید توسط دندانپزشک یا پزشک بررسی شود.
بارداری
افزایش هورمون ها در دوران بارداری باعث افزایش تولید ملانین در لثه ها می شود که منجر به تیرگی موقت لثه ها می گردد.
کمبود ویتامین B12 یا C
کمبود این ویتامین ها باعث ضعف بافت لثه، التهاب و تیرگی لثه می شود. مصرف مکمل ها یا رژیم غذایی مناسب می تواند به بهبود رنگ لثه کمک کند.
ضربه یا فشار مزمن روی لثه
فشار مداوم دندان مصنوعی، ارتودنسی یا جویدن مواد سخت می تواند منجر به ایجاد هماتوم یا تیرگی موضعی لثه شود.

راه های درمان تیرگی لثه
تیرگی لثه یا سیاهی لثه می تواند با روش های مختلفی درمان شود که بسته به علت ایجاد آن انتخاب می شوند. رعایت بهداشت دهان، درمان های تخصصی و روش های زیبایی دندانپزشکی از جمله راهکارهای موثر برای بازگرداندن رنگ طبیعی لثه هستند.
۱. بلیچینگ لثه با لیزر
یکی از رایج ترین روش ها برای درمان تیرگی لثه، استفاده از لیزر است. لیزر با حذف رنگدانه های اضافی و تحریک بافت لثه، باعث روشن تر شدن لثه ها می شود. این روش سریع، کم درد و با نتیجه دائمی نسبی است.
۲. جراحی زیبایی لثه
در مواردی که تیرگی لثه شدید یا موضعی است، جراحی زیبایی لثه (Gingival Grafting) می تواند با برداشتن بافت تیره و پیوند بافت سالم، رنگ لثه را بهبود دهد.
۳. پیوند لثه
اگر تحلیل لثه باعث تیرگی یا سیاهی لثه شده باشد، پیوند لثه بهترین راهکار است. این روش با برداشت بافت سالم از سقف دهان و انتقال آن به ناحیه آسیب دیده، علاوه بر درمان تیرگی، از تحلیل بیشتر لثه جلوگیری می کند.
۴. درمان عوامل زمینه ای
اگر تیرگی لثه ناشی از ژنژیویت، بیماری های سیستمیک یا دارو باشد، درمان علت اصلی باعث بازگشت رنگ طبیعی لثه می شود. این شامل: کنترل التهاب و بیماری لثه با جرم گیری و فلوراید. اصلاح مصرف دارو با نظر پزشک. درمان بیماری های سیستمیک مرتبط.
۵. ترک دخانیات
برای افرادی که سیگار یا قلیان مصرف می کنند، ترک دخانیات یکی از مهم ترین اقدامات برای کاهش تیرگی لثه و جلوگیری از تشدید سیاهی لثه است.
رعایت ترکیبی از این روش ها و مشاوره با دندانپزشک متخصص باعث می شود رنگ طبیعی لثه بازگردد و سیاهی لثه کاهش یابد.
درمان سیاهی لثه در خانه
اگر تیرگی لثه خفیف باشد و ناشی از عوامل سبک زندگی باشد، می توان با روش های خانگی و مراقبت روزانه، رنگ طبیعی لثه را تا حدی بازگرداند. روش های موثر در خانه:
- رعایت بهداشت دهان و دندان: مسواک زدن حداقل دو بار در روز و استفاده منظم از نخ دندان باعث کاهش پلاک و التهاب لثه می شود.
- دهان شویه آنتی باکتریال: استفاده از دهان شویه های مناسب به کاهش باکتری های عامل التهاب و تیرگی لثه کمک می کند.
- کاهش مصرف قهوه و چای: نوشیدنی های رنگ دهنده می توانند تیرگی لثه را تشدید کنند، پس کاهش مصرف آنها مفید است.
- ماساژ لثه: ماساژ ملایم لثه با انگشت یا مسواک نرم باعث افزایش جریان خون و بهبود رنگ لثه می شود.
- مصرف مواد غذایی غنی از ویتامین: میوه ها و سبزیجات حاوی ویتامین C و ویتامین B12 باعث سلامت بافت لثه و کاهش تیرگی می شوند.
- ترک دخانیات: سیگار و قلیان رنگدانه های لثه را افزایش می دهند، ترک آن ها یکی از موثرترین روش هاست.
توجه داشته باشید که این روش ها برای تیرگی های خفیف و ناشی از سبک زندگی مناسب هستند و در صورت تیرگی شدید یا علت های بیماری زا، مراجعه به دندانپزشک ضروری است.

راه های پیشگیری از تیرگی لثه
جلوگیری از تیرگی یا سیاهی لثه نیازمند رعایت نکات بهداشتی، اصلاح سبک زندگی و مراقبت های منظم دندانی است. با پیشگیری صحیح می توان از تغییر رنگ لثه و بروز مشکلات بعدی جلوگیری کرد.
نکات کلیدی پیشگیری:
- رعایت بهداشت دهان و دندان: مسواک زدن حداقل دو بار در روز، استفاده از نخ دندان و دهان شویه های مناسب.
- مراجعه منظم به دندانپزشک: چکاپ های دوره ای و جرم گیری سالانه به پیشگیری از التهاب و تیرگی لثه کمک می کند.
- ترک دخانیات: سیگار و قلیان عامل اصلی تیرگی لثه هستند و ترک آن ها به حفظ رنگ طبیعی لثه کمک می کند.
- تغذیه سالم و ویتامینه: مصرف کافی ویتامین C و B12 برای سلامت بافت لثه ضروری است.
- کاهش مصرف نوشیدنی های رنگ دهنده: قهوه، چای و نوشیدنی های مصنوعی می توانند تیرگی لثه را تشدید کنند.
- محافظت از لثه در برابر آسیب: استفاده صحیح از مسواک و اجتناب از فشار زیاد یا جویدن مواد سخت به سلامت لثه کمک می کند.
رعایت این موارد به طور مستمر می تواند تیرگی لثه را کاهش دهد و سلامت دهان و دندان را حفظ کند.
کمبود چه ویتامینی باعث سیاه شدن لثه می شود؟
یکی از دلایل شایع تیرگی یا سیاهی لثه، کمبود ویتامین ها است. به خصوص کمبود ویتامین B12 و ویتامین C می تواند باعث ضعف بافت لثه، التهاب و تغییر رنگ آن شود.
- ویتامین B12: نقش مهمی در تولید گلبول های قرمز و سلامت بافت لثه دارد. کمبود آن باعث بروز لثه های تیره، خونریزی و التهاب می شود.
- ویتامین C: برای سنتز کلاژن و سلامت بافت همبند لثه ضروری است. کمبود ویتامین C باعث خونریزی، التهاب و سیاهی لثه می شود.
مصرف منابع غذایی مناسب مانند میوه ها، سبزیجات و مکمل های تجویز شده توسط پزشک می تواند به بهبود رنگ لثه و سلامت دهان کمک کند.
رفع سیاهی لثه ناشی از سیگار
سیگار و دیگر دخانیات یکی از شایع ترین علل تیرگی یا سیاهی لثه هستند. مواد شیمیایی موجود در سیگار باعث رسوب رنگدانه ها روی لثه و کاهش جریان خون در بافت لثه می شوند.
راهکارهای رفع سیاهی لثه ناشی از سیگار:
- ترک کامل سیگار و قلیان: مهم ترین و موثرترین اقدام برای بازگشت رنگ طبیعی لثه.
- استفاده از لیزر یا بلیچینگ لثه: پس از ترک سیگار، روش های دندانپزشکی می توانند رنگدانه های اضافی را حذف کنند.
- رعایت دقیق بهداشت دهان و دندان: مسواک زدن منظم، استفاده از نخ دندان و دهان شویه های آنتی باکتریال.
- تقویت تغذیه: مصرف مواد غذایی حاوی ویتامین C و B12 برای بهبود سلامت لثه و کاهش تیرگی.
- مراجعه دوره ای به دندانپزشک: بررسی وضعیت لثه و پیشگیری از ایجاد لکه های جدید یا التهاب.
با ترکیب ترک دخانیات و مراقبت تخصصی دندانپزشکی، رنگ طبیعی لثه به مرور بازمی گردد و سیاهی لثه کاهش می یابد.